Bimaxillary Protrusion
口元の形が気になっている方も多いのではないでしょうか。
美しくなりたいと考える際、口元の印象は重要な要素となります。
もし気になるのが「突出した口元の形」であれば、それは口ゴボの可能性があります。
そして口ゴボの場合、矯正歯科での治療が有効であるケースがあります。

「口ゴボ」とは、上下の唇が前に突き出しているような外見を指します。
先天的な原因だけでなく、長年の習慣による後天的な原因にも関連しており、理由は多岐にわたります。たとえば、顎骨が小さく、歯が大きい場合、歯が前に押し出されて出っ歯のような状態になることがあります。また、子どものころから指しゃぶりや爪を噛む癖を持ち続けると、歯が前に出ることがあります。
「口ゴボ」は、口元が前に突き出ており、下あご周りにしわができる外見的特徴から、
・口を閉じにくい
・噛み合わせが悪い
・むし歯や歯周病の発症リスクが高まる
など、さまざまな健康上の問題が生じる可能性があります。

Eラインとは「エステティックライン」の略で、横顔の鼻のてっぺん、 あごの先を結んだ線のこと言います。
このラインより少し内側に上唇があるのが理想とされますが、口ゴボはこのEラインより、口元が前にある状態のことを言います。
矯正治療では「歯並びを治す」印象が一般的に強いですが、「横顔のバランス」「口元の美しさ」もまた「口を閉じる」といった口腔機能の一つに関わるため、矯正治療においては重要な治療対象です。
口ゴボになる原因

先天的な要因
口ゴボの原因は、遺伝的な要因によるものもあります。
上あごと下あごのサイズや歯の大きさの調和が取れていないことが口ゴボの原因となります。

後天的な要因
子どもの発育期において、以下の癖がある場合、口ゴボの要因になる可能性があります。
・指しゃぶり
・爪を噛む
・唇を噛む
一般的に、あごの成長は7歳から18歳の間に完了しますが、個人差や性別による違いも存在します。
成長とは関係なく、口呼吸や舌を前に出す癖がある方、歯周病により前歯が前に出ることで口ゴボになる場合もあります。
01
見た目のコンプレックス
口元が突出した外見は、社交場面で精神的なストレスに感じる方もいます。
個人差があるため、専門家と相談して適切な対処法を見つけることが大切です。
02
咀嚼や発音に悪影響が出る
口ゴボの方は噛み合わせに問題が生じたり、口周りの筋肉の発達に影響が出て発音に影響が出る場合があります。
これが原因で、適切に咀嚼できなかったり、滑舌が悪くなったり、息が抜けるような発音になったりすることがあります。
03
むし歯や歯周病などのリスクが高まる
口ゴボの方は、歯が前に出ている影響で口が自然に開いてしまう場合があります。
口が開いた状態では口腔内が乾燥し、唾液の分泌量が減少します。
唾液は口の中の健康を保つのに非常に重要な役割を果たしているため、唾液の減少によりむし歯や歯周病のリスクも高まります。
さらに、口腔内が乾燥することで
口臭が悪化することもあります。
口ゴボの治療方法には、以下の3つがあります。
当院では精密検査の際に歯の位置や角度・骨の状態を詳しく調べることで、患者様ごとにどの移動様式で前歯を下げていくのかを決めた上で適切な治療を行います。

抜歯したスペースに前歯を引っ込める
歯を抜いたスペースを利用して、突出した前歯を引っ込める方法です。口ゴボの治療法の中でも特に口元の大きな変化が見込まれるため、最も多く選択されます。一般的には小臼歯(前から4番目または5番目の歯)を抜歯することが多いです。

外科手術で骨ごと前歯を引っ込める
上下のあごの骨が前方へ大きく成長していることが原因の場合は、「顎変形症」と診断され、手術を併用する外科的矯正治療の適応(保険治療)となります。上あごの歯を抜き顎骨を切り離して後方移動したり、下あごのを歯を切り離して顎骨を後方移動する手術法があります。 ※効果が限定的であるため、特例なケースになります

その他の治療
抜歯以外の選択肢として、以下の治療法があります。
・歯を削って小さくする(ストリッピング、IPR)
歯の外側のエナメル質を安全な範囲で薄く削り(最大で0.25 mm)、前歯を引っ込めるスペースを作ります。
・歯列を拡大する
歯列を横方向に拡大して幅広のアーチにすることで、前歯を引っ込めるスペースを作ります。
・奥歯を後方へ動かす
奥歯を後ろへ動かすことで歯列全体を後方移動し、突出した前歯を引っ込めます。歯科矯正用アンカースクリューが必要な治療法です。
上記の方法はいずれも、歯の厚みや骨の幅といった問題から、得られるスペースに限りがあります。
このため、抜歯治療ほど前歯の位置を大きく引っ込めることはできず、口元の膨らみの改善はわずかとなります。
※効果が限定的であるため、特例なケースになります。
当院では、口ゴボの治療方法として以下の3つを採用しております。
・ワイヤー矯正
・マウスピース矯正
・外科的矯正治療
それぞれにメリットとデメリットがあり、ご自身の目的やご希望に沿った治療法をご提案いたします。

ワイヤー矯正
歯列の表側にブラケットという装置を接着し、ブラケットに矯正用ワイヤーを通すことでワイヤーの力を歯に加えて、少しづつ歯を動かしていきます。口ゴボの治療では、抜歯をして前歯を大きく後ろへ動かす方法が一般的です。抜歯スペースを最大限に利用して口元の膨らみを大幅に改善したい場合は、歯科矯正用アンカースクリューを併用します。ワイヤー矯正は治療技術が確立されており、ほぼすべての症例で安定した治療結果を得ることができます。

マウスピース矯正
プラスチック製のマウスピースをオーダーメイドで数十枚作製し、患者さまに1週間に1回程度の頻度で交換していただくことで理想の歯並びへと近づけていきます。
口ゴボの治療のように抜歯をして歯を大きく動かすケースは、決められたマウスピースの装着時間や使用方法を守っていても、シミュレーション通りに歯が動かなかったり、かみ合わせが崩れてしまうなど、マウスピース矯正では難易度の高いケースとされます。

外科的矯正治療
上下の顎骨自体が前方に大きく成長しているような、骨格に原因がある場合は、通常のワイヤー矯正やマウスピース矯正では改善ができません。このような場合は「顎変形症」と診断され、手術を併用する外科的矯正治療の適応(保険治療)となります。顎変形症の治療についての詳細はこちらをご覧ください。
口ゴボの矯正治療によってかかる費用
|
治療名 |
項目 |
費用 |
一般的な治療期間・通院回数 |
|
マウスピース矯正 |
- |
85万円 |
2年・14回 |
|
表側ワイヤー |
すべてメタル |
75万円 |
2年・24回 |
|
メタルワイヤー・セラミック |
81万円 |
2年・24回 |
|
|
ホワイトワイヤー |
87万円 |
2年・24回 |
|
|
裏側ワイヤー |
ハーフリンガル |
110万円 |
2.5年・30回 |
|
フルリンガル |
130万円 |
2.5年・30回 |
|
|
検査料 |
- |
3万円 |
- |
|
管理料 |
- |
3,000円 |
- |
|
保定装置料 |
- |
15,000円 |
- |
|
観察料 |
- |
2,000円 |
- |
<2026年4月価格改定>
矯正歯科治療は公的保険適用外の自費(自由)診療となります。

01
カウンセリング
問診票と口腔内スキャンデータをもとに、現状の噛み合わせの問題点とそれに対する治療法、そして大まかなお見積りをご説明します。歯並びに関するお悩みや治療へのご要望など、どんな些細なことでも遠慮なくご相談ください。カウンセリング当日に検査のご希望がございましたら、お気軽にスタッフにお伝え下さい。診療の混雑具合にもよりますが、当日に精密検査が可能な場合もあります。
02
精密検査
より詳細な治療計画を立案するため、お口の中の精密検査を実施します。具体的には、口腔内写真撮影、顔面写真撮影、パノラマX線撮影、頭部X線規格写真撮影、3D口腔内スキャンなどを行います。複数の検査を行うことで、上下の顎骨のバランスや噛み合わせについてより的確に診断することができます。
03
矯正治療
矯正装置を装着し、歯を動かし始めます。通院頻度は装置によって変わりますが、基本的には3~8週間に1回程度です。 1回の治療時間は20〜60分です。
1〜3か月毎にお口の中の写真を撮影し、患者さまへ治療の進行度をお伝えします。写真で歯並びの変化を実感していただくことは、患者さまご自身のモチベーションを保つことにもつながります。
04
保定
歯の移動を終えると、矯正装置をすべて取り外します。装置の撤去後は、後戻りを防止して歯並びを安定させるために、保定装置(リテーナー)を使っていただきます。 保定開始後すぐは1~3か月毎、歯列の後戻りが少なくなってからは3~6か月毎にご来院いただき、噛み合わせと保定装置の状態をチェックします。 保定期間の長さは治療内容にもよって変わりますが、一般的には矯正治療に要した期間と同じ程度必要になることが多いです。
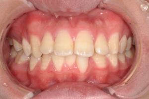
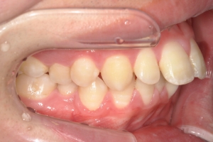
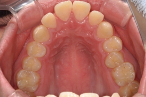
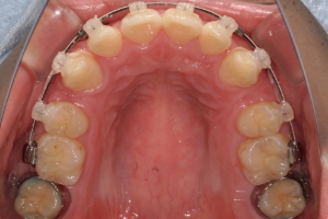
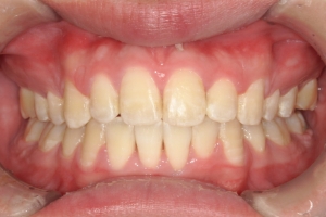
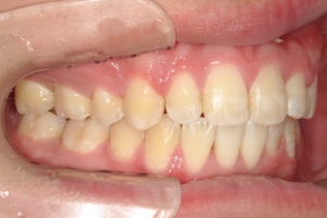
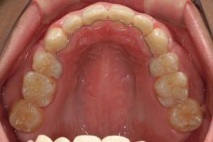
BEFORE
治療前



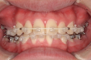
PROCESS
半年



AFTER
治療後



患者さまが訴える症状以外にも、すきっ歯(空隙歯列)や口を閉じた時に口周りの筋肉の過緊張(口唇閉鎖不全)がみられました。口元を改善するためには、上下の前歯を大きく後ろに後退する必要があります。そのため上下顎小臼歯抜歯が必要と診断しました。
前歯の位置を大きく引っ込めたことで、閉口時の口周りの筋緊張もなくなり、きれいなE-ラインの口元となりました。
口ゴボ治療前後の口元
BEFORE
治療前

AFTER
治療後

口ゴボに関するよくある質問
口ゴボは自力で治療できますか?
歯を舌で押す癖や頬杖、口呼吸などの習慣は自己努力で改善可能ですが、一度出っ歯や口ゴボになると、自力での完全な治療は難しいです。
治療には専門家の協力が必要となります。
歯並びは良いですが口ゴボは治療した方がいいですか?
歯並びが良いこと(ガタガタしていないこと)と、口ゴボは別の問題です。歯の健康やお口の機能においては、歯並びの美しさだけではなく、歯が適切な位置で噛み合うことが重要です。一見「歯並びは悪くない」ように見えても、口元の見た目にコンプレックスを感じたり、呼吸・発音など口腔機能に悪影響を及ぼす場合は矯正治療を検討してみても良いでしょう。
口ゴボの矯正治療は通常の矯正と費用は異なりますか?
口ゴボの矯正治療だからといって、他の歯並びの治療と比べて費用が高くなることはありません。
口ゴボの矯正も他の治療と同じく、歯の状態や使用する装置の種類、抜歯の必要性などに応じて決まります。
一度口ゴボの治療したら元に戻ることはありませんか?
口ゴボに限らず、矯正治療を終えた直後は、歯は必ずもとの位置に戻ろうとします。こうした後戻りを防ぎ、治療後の状態を維持するために保定装置の装着が必要となります。 歯が治療後の場所で安定するには、歯を動かした期間と同程度の期間を必要とするため、保定期間は数年にわたります。