Mouthpiece
concept
当院では、マウスピース型矯正装置(インビザライン)を導入しております。本装置は1997年に米国で開発されて以降、世界的に普及し、日本でも最もシェアの多いマウスピース型矯正装置です。
治療では、プラスチック製のマウスピースをオーダーメイドで数十枚作製し、1週間に1回程度のペースで交換しながら歯を少しずつ動かしていきます。透明で薄型のため、装着していても目立ちにくい点が特徴です。
歯列矯正に伴う一般的なリスク以外に、マウスピース型矯正装置(インビザライン)に固有の重大な副作用の報告はありません。
なお、当院で使用しているマウスピース型矯正装置(インビザライン)は、米国アライン・テクノロジー社の製品であり、インビザライン・ジャパン株式会社を通じて入手しています。1998年にFDA(米国食品医薬品局)の医療機器認証を受けていますが、日本の医薬品医療機器等法(薬機法)の承認は得ておりません。
そのため、国内で薬機法の承認を受けた類似装置が存在すること、また、不具合が生じた場合でも医薬品副作用被害救済制度の対象外となる点をご理解ください。
装置選択肢の多さ
当院では外科手術が必要な場合を除いたほとんど全ての患者さまに対し、装置の選択肢のひとつとしてマウスピース型矯正装置(インビザライン)をご提案しております。本装置の特性ゆえにどうしても治療に向かないケースもありますが、一時的なワイヤー矯正の併用などで対応可能な場合があります。他院でマウスピース型矯正装置(インビザライン)での治療が難しいと言われた方も、ぜひ一度相談にお越しください。
iTero(口腔内スキャナ)の導入
マウスピース型矯正装置(インビザライン)でスピーディにかつ高精度に治療していくため、口腔内スキャナのiTeroを導入しております。iTeroとは口腔内の状態をコンピュータに3次元で取り込むことができる新しい口腔内スキャナです。従来ではシリコンや粘土の型取りを行っていましたが、このスキャナを使用すると5分程度で型取りが終了します。
マウスピース型矯正装置(インビザライン)を使った部分矯正
当院ではマウスピース型矯正装置を使用した部分矯正も行っております。全体矯正と比べるとマウスピースの作製枚数が限られてしまうため、適応症例も限られます。ご希望の方は一度ご相談ください。
治療後の歯並びシミュレーション
当院ではデジタル機器を用いて歯の動きのシミュレーションを行っております。歯の移動を3D画像で確認することで、患者さまも矯正治療後の歯並びをイメージしやすく、モチベーションアップにもつながります。患者さまとドクターの間で治療のゴールを共有できるので、安心して治療を受けていただけます。
マウスピース型矯正装置(インビザライン)のメリット
01
透明なマウスピースを使うため装置が目立ちにくい
マウスピースの厚みは0.5mmと薄く、大きさも歯の部分のみを覆うコンパクトな形をしているので装着時に目立ちにくいです。治療中の見た目が気になる方、人と接する機会が多い方にはおすすめの装置です。
02
食事、歯磨きの際に取り外せる
マウスピースの着脱は患者さまご自身に行っていただきます。食事の際には取り外すことができるため、装置に食べ物が詰まったり引っかかる心配はありません。歯磨きもマウスピースを取り外した状態で行うことができます。
03
ワイヤー矯正と比較して通院頻度が少ない
マウスピースは基本的に7〜10日に一度交換します。 慣れないうちは月に一度通院して歯の動きをチェックしますが、使用時間を守って装着できていれば2〜3か月に1度の通院でよくなります。装置が外れるなどのトラブルも少ないことから、通院頻度は少なくなります。
04
比較的弱い力で歯を移動させることができる
一つのマウスピースにつき動かすことができる歯の移動量が少ないので、歯に加わる力が少ないと言われています。
05
金属アレルギーの心配が少ない
マウスピース型矯正装置(インビザライン)自体には金属を一切含みません。金属アレルギーの方やアレルギーが心配な方も、安心してご使用いただけます。
06
楽器の演奏がしやすい
ワイヤー矯正の場合、主に吹奏楽器の演奏に影響がでることがありますが、マウスピース型矯正装置(インビザライン)の場合は影響が少ないと言われています。
マウスピース型矯正装置(インビザライン)のデメリット
01
装着時間を守らないと効果的に歯を移動できない
簡単につけ外しできるのが大きなメリットではありますが、それ故にご自身で責任をもって決められた使用時間を守らなければ治療がすすみません。 毎日20〜22時間以上の装着を心がけること、治療予定通りに来院してチェックを受けることなど、歯科医師の指示を守っていただくことが大切です。
02
装置装着中は水以外の飲食ができない
装置をつけた状態でお食事すると、マウスピースの破損・変形ばかりでなくむし歯や歯周病のリスクも高まります。 必ずお食事や糖分の入った飲み物を飲む際ははずしてください。色のついた飲み物は、マウスピースが着色する可能性があります。
03
装着時間を守らないと効果的に歯を移動できない
マウスピース型矯正装置(インビザライン)は1日22時間以上装着する必要があり、自己管理が求められます。装着時間が不足すると、想定した歯の移動が生じずマウスピースの適合が悪くなり、治療計画通りに歯を動かすことができなくなります。マウスピースの不適合の度合いが大きくなると、治療計画を立て直してマウスピースを再作製しなければならず、その分治療期間が長引いてしまいます。
04
途中でむし歯などになるとマウスピースが適合しなくなる
むし歯・歯周病になってしまうと、場合によっては一旦矯正治療を中止しなければならないこともあります。 毎日のセルフケア、マウスピースのお手入れは、丁寧に行う必要があります。
|
マウスピース型矯正装置(インビザライン) |
ワイヤー矯正 |
|
|
審美性 |
装置が見えず、目立ちにくい |
表面だと目立つ |
|
治療期間 |
部分矯正:6か月〜1年 |
部分矯正:6か月〜1年 |
|
費用 |
表側と比較すると費用が高い |
費用が比較的抑えられることがある |
|
清掃性 |
歯磨きしやすく、 |
歯磨きしにくく、 |
ワイヤーなどの装置で見た目に抵抗を感じる方もマウスピース型矯正装置(インビザライン)なら安心して治療できます。
矯正装置が透明なマウスピースなので、他人の目を気にせず歯並びを治せます。
また、仕事柄ワイヤーなどの目立つ矯正装置を付けられない、禁止されているという方にもマウスピース型矯正装置(インビザライン)は目立ちにくいので人前に立つお仕事の方にもおすすめです。
マウスピース型矯正装置(インビザライン)はワイヤーなどの金属を一切使用しないプラスチック製の矯正装置ですので、金属アレルギーの方でも安心して矯正治療が可能です。
マウスピース型矯正装置(インビザライン)は通院回数が1~3ヶ月に1度程度と他の歯列矯正に比べて少ないです。
仕事や学校などで忙しくてなかなか通院できない方も少ない通院回数で治療が行えます。
マウスピース型矯正装置(インビザライン)治療によってかかる費用
|
相談料 |
初診相談は無料です。 |
|
治療費用 |
40~85万円(税込44~93.5万円) |
|
一般的な治療期間 |
10ヶ月~2年 |
|
一般的な通院回数 |
6~14回 |
|
検査料 |
3万円(税込3.3万円) |
|
管理料 |
3,000円(税込3,300円) |
|
保定装置料 |
15,000円(税込16,500円)/個 |
|
観察料 |
2,000円(税込2,200円) |
<2026年4月価格改定>
※矯正歯科治療は公的医療保険適用外の自費(自由)診療となります。
※治療内容によって費用が変動する場合がございます。詳細はご相談ください。
症例や矯正範囲にもよりますが、6か月〜3年ほどが目安になります。
また、マウスピース矯正が終わっても、保定期間は治療期間と同じになります。

01
カウンセリング
問診票とiTero(口腔内スキャナ)を使った口腔内スキャンデータをもとに、現状の噛み合わせの問題点とそれに対する治療法、そして大まかなお見積りをご説明します。歯並びに関するお悩みや治療へのご要望など、どんな些細なことでも遠慮なくご相談ください。
カウンセリング当日に検査のご希望がございましたら、お気軽にスタッフにお伝え下さい。
02
精密検査
より詳細な治療計画を立案するため、お口の中の精密検査を実施します。具体的には、口腔内写真撮影、顔面写真撮影、パノラマX線撮影、頭部X線規格写真撮影、3D口腔内スキャンなどを行います。
複数の検査を行うことで、上下の顎骨のバランスや噛み合わせについてより的確に診断することができます。
03
矯正治療
矯正装置を装着し、歯を動かし始めます。通院頻度は基本的に1~3ヶ月に1度程度です。
1回の治療時間は20〜60分です。
1〜3か月毎にお口の中の写真を撮影し、患者さまへ治療の進行度をお伝えします。
04
保定・メンテナンス
歯の移動を終えると、後戻りを防止して歯並びを安定させるために、保定装置(リテーナー)を使っていただきます。
保定開始後すぐは1~3か月毎、歯列の後戻りが少なくなってからは3~6か月毎にご来院いただき、噛み合わせと保定装置の状態をチェックします。
BEFORE
治療前
PROCESS
半年
AFTER
治療後
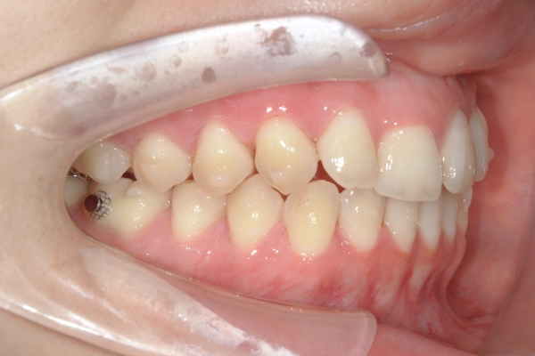
叢生(ガタガタ)の程度は軽度でしたが、前歯〜犬歯にかけては、奥歯で噛んでいるのに当たらない状態でした。また犬歯~奥歯の咬み合わせがずれており、下顎の歯列より上顎の歯列が前方に位置していました。治療では、上顎歯列を後方に移動することで犬歯〜奥歯の噛み合わせのずれを治しつつ、上下の前歯〜犬歯がしっかりと咬合するように並べました。
BEFORE
治療前
PROCESS
8ケ月
AFTER
治療後
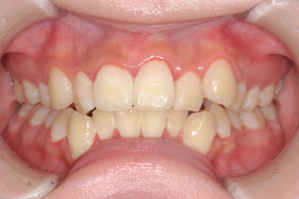
八重歯を含めた叢生(ガタガタ)改善のスペースは、歯列を全体的に後方に動かす(遠心移動)ことでつくりました。下顎の歯列正中(真ん中)が左にずれていたので、正中のずれを改善するため下顎右側の小臼歯抜歯を行いました。前歯の歯ぐきのラインは不揃いですが、矯正治療では整えることができません。歯ぐきのラインを揃えるには、矯正治療とは別に、歯肉切除等の外科処置が必要となります。