前歯がしっかり噛めていない(上顎前突)を表側ワイヤー矯正で治療した症例
症例紹介
2025.10.16
2025.10.23
こんにちは、鶴見ニコ矯正歯科 院長 矯正認定医 小田垣直弥です。
今回の患者様は以下の症状の改善のため、ご来院されました。
「上前歯がガタガタで口元が出てることが気になる」
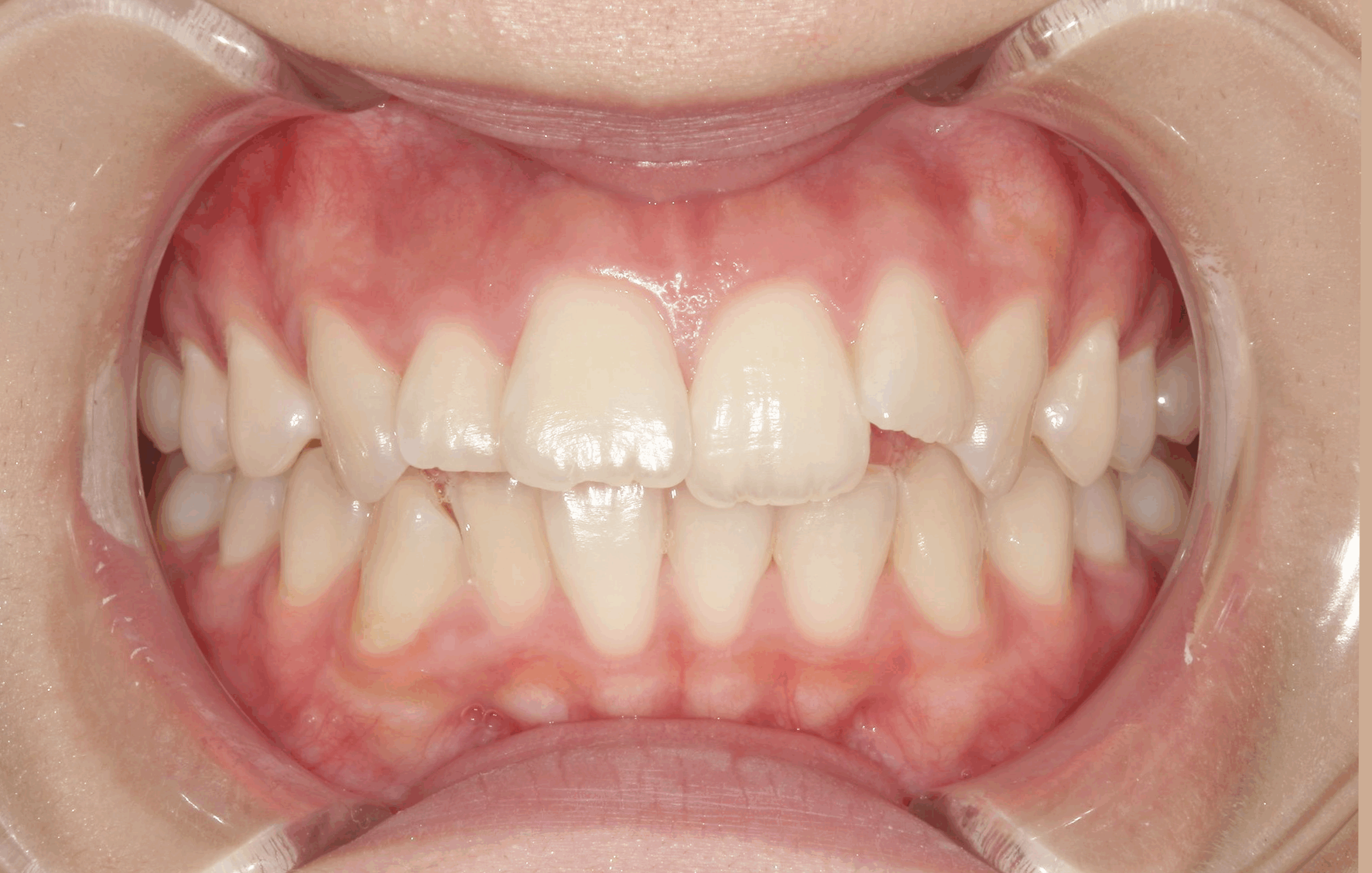
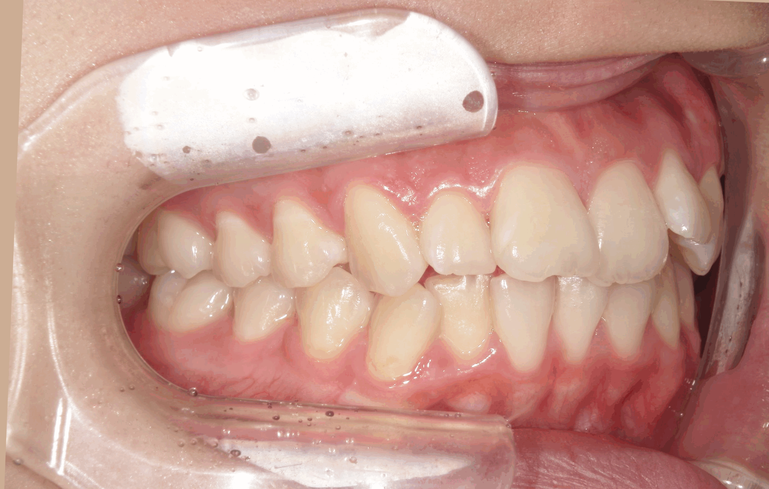
こちらが実際の治療前のお写真です。
<初診時>

①叢生(そうせい):正面から見ると、上の歯並びの前から2番目の歯が、他の歯よりも前に飛び出しています。これは、歯の大きさと顎の骨の大きさのバランスが悪く、歯が並ぶスペースがないために起こる「叢生(そうせい)」という症状です。
②正中線のずれ::正面から見ると、上の前歯の中心と下の前歯の中心がわずかにずれていることがわかります。

③出っ歯(上顎前突): 右側の写真では、上の前歯が1本だけ飛び出ていることが確認できます。これにより、口を閉じた際に唇が閉じにくくなるなどの影響が出ることがあります。E-lineより上唇が出ています。E-lineよりも唇が出ていると、口元がぽっこりと見えたり、口を閉じにくく感じることもあります。

④本来の唇のカーブが失われている状態:もともとのE-line(エステティックライン)では口元のバランスは悪くありません。しかし、前歯の突出によって上唇にやや緊張が見られ、患者様が気にされていた口元の膨らみが生じています。
検査から診断を経て、治療方法の提案
検査から診断
セファロ分析(頭部X線規格写真)、3Dフェイススキャン、CT解析といった精密検査を行いました。
その結果、「正中線(歯の中心)のズレ」は、奥歯の位置がズレていることが根本的な原因であると判明しました。奥歯が正しい位置で噛み合っていないため、その影響が前歯に及び、中心線のズレが生じていたのです。
口元の状態については、いわゆる「口ゴボ」というほどの強い突出感はありませんでした。しかし、今回の治療で奥歯から歯並び全体を整えていくことで、前歯も自然と後方へ移動し、横顔もよりバランスの取れた自然な印象に整うと診断しました。
奥歯から歯列全体を動かし、理想的な位置に整えるためにはスペースが必要となります。そのため、今回は抜歯を行ってスペースを確保し、治療を進めることを診断しました。
抜歯によるスペース確保
奥歯を正しい位置へ動かし、歯列全体を整えるためにはスペースが必要となります。
今回の治療計画では、そのスペースを確保するために、前から4番目または5番目にあたる歯(小臼歯)または8番目の歯(親知らず)を左右で1本ずつ抜歯することを提案しました。
この抜歯によって得られたスペースを最大限に活用し、前歯を大きく後ろに動かし、奥歯のズレの修正、正中線の改善、そして口元のバランス調整を含めた歯列全体の再構築を行います。
治療方法の提案
今回の治療計画を実現するため、患者様には以下の2つの方法をご提案しました。使用する装置によって、抜歯する歯の位置や治療期間の目安が異なります。
① マウスピース矯正(インビザライン)
親知らず(8番目の歯)を抜歯し、奥の歯をさらに後方へ大きく動かしてスペースを作ります。歯全体の移動量が非常に大きくなるため、治療期間は約2年半~を見込みます。
② ワイヤー矯正(表側または裏側)
4番目または5番目の歯(小臼歯)を抜歯します。この位置の歯を抜くことで、効率的に歯を動かしやすいため、治療期間は約1年半~2年を見込みます。
治療方法と装置の決定
患者様は取り外しが大変なため、マウスピース矯正よりもワイヤー矯正を選ばれました。上の歯の抜歯は、前から5番目の歯を左右計2本抜歯することとしました。
また審美性を重視し、審美性の高い「ホワイトワイヤー」とブラケットは白い「セラミック」をご希望されました。

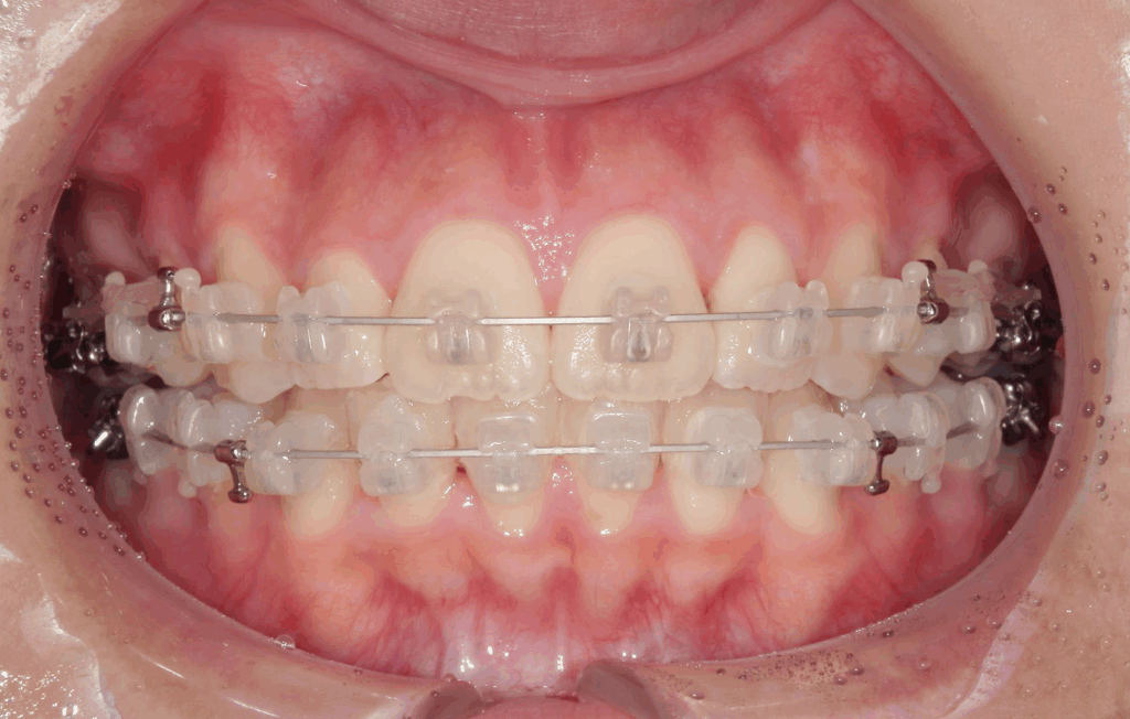
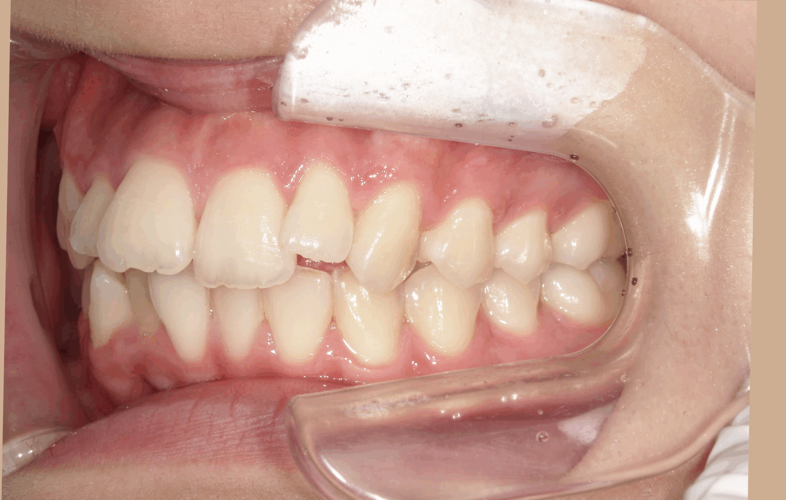
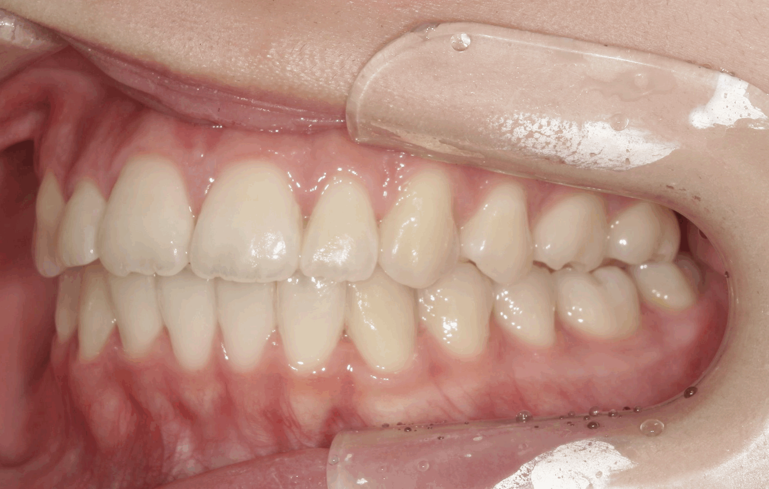
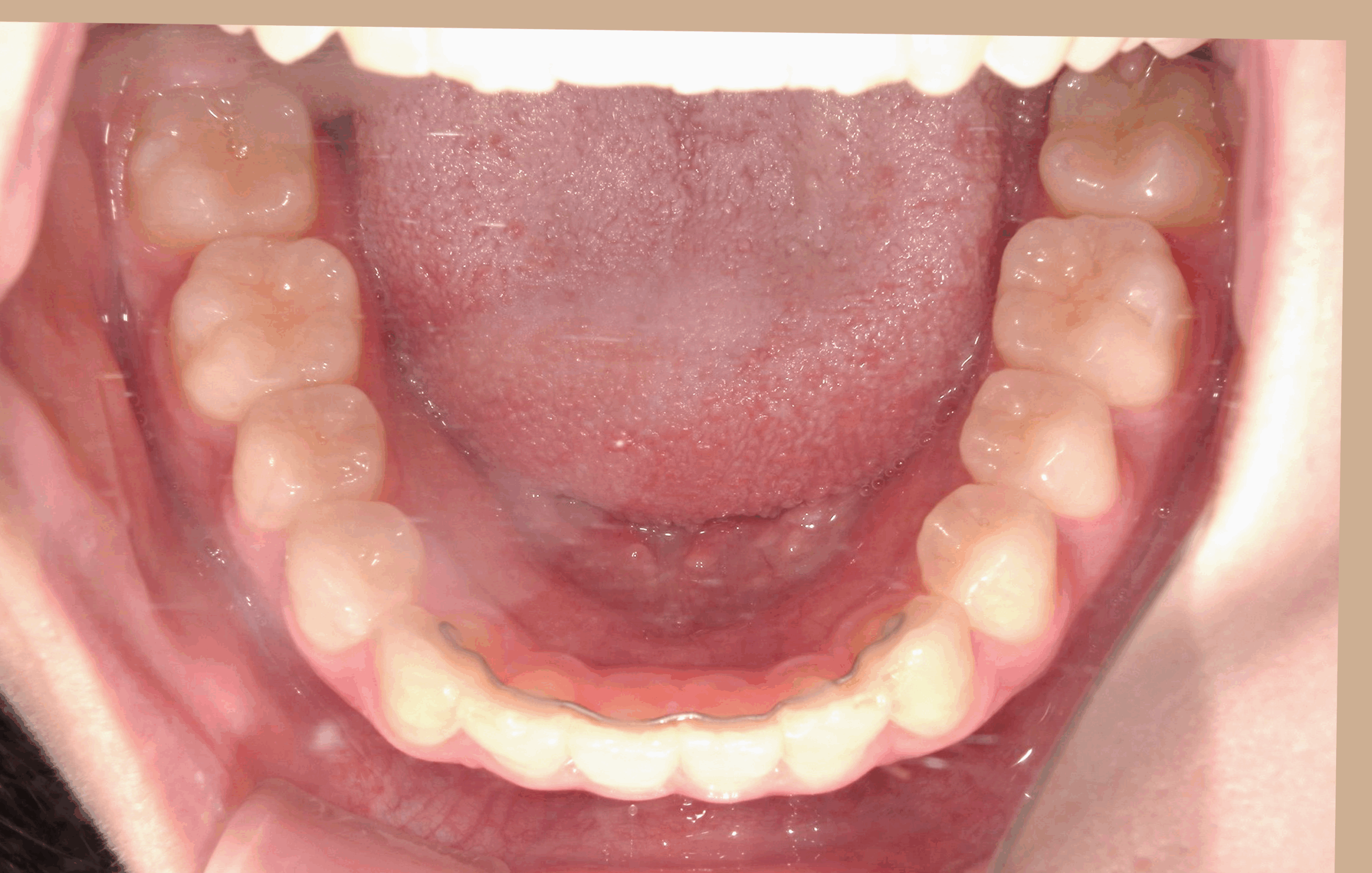
治療前後の写真比較
治療前


治療後
















前歯のガタガタを解消し、ズレていた奥歯の噛み合わせを整え、さらに上の前歯を適切な位置へ移動させることができました。
治療前の患者様は、口を閉じる際に無意識にグッと力を込める必要があり、それによって唇本来の自然なカーブが失われている状態でした。
そこで今回の治療では、単に前歯を下げるのではなく、横顔のバランスを見ながら「口元を引っ込めすぎない」よう、前歯の最終的な位置に細心の注意を払って設計しました。
その結果、治療後は肩の力を抜いて自然に口を閉じられるようになり、唇が持つ本来のふっくらとした美しいカーブを取り戻すことができました。
治療内容のまとめ
患者様情報
| 年代 | 10代後半 |
| 性別 | 女性 |
治療情報
| 治療名称 | ワイヤー矯正、便宜抜歯あり |
| 治療費用 | 880,000円(10%税込) |
| その他費用 |
相談料:0円 検査・診断料:5,500円 管理料:3,300円/回 保定装置代:16,500円/個 経過観察料:2,200円/回 |
| 治療期間 | 1年3か月 |
| 通院頻度など | 1~2ヶ月に1回 |
| その他治療に関する情報 | なし |
治療内容
| 患者様の症状 | 正中線のずれ、上顎前突 |
| 治療方法 |
便宜抜歯2本行い、表側矯正を行いました。 装置はセラミックブラケットとホワイトワイヤーを使用。 |
| 治療結果 |
叢生、上顎前突を解消。正中線のずれも改善し、噛み合わせが良くなりました。 ※治療結果は患者様によって個人差があります。 |
| その他治療に関する情報 | 前から5番目の歯を左右計2本抜歯、ゴムかけを頑張って頂いたので、治療期間を短縮できた可能性があります。 |
治療を行う上での注意点
| リスク/副作用 |
月1回程度の通院が必要 調節後3日程度痛みがある 歯磨きが難しい 食べ物が挟まりやすい |
監修歯科医師
小田垣 直弥
院長
裏側矯正や口ゴボの改善を得意とする矯正歯科医として、一人ひとりの骨格や顔立ちに合わせた治療を心がけています。特に、見た目にこだわる大人の方には「見た目に矯正中だとわかりにくく、仕上がりにも妥協しない治療」を大切に、日本矯正歯科学会認定医として丁寧な診断とご提案を行っています。
裏側矯正や口ゴボの改善を得意とする矯正歯科医として、一人ひとりの骨格や顔立ちに合わせた治療を心がけています。特に、見た目にこだわる大人の方には「見た目に矯正中だとわかりにくく、仕上がりにも妥協しない治療」を大切に、日本矯正歯科学会認定医として丁寧な診断とご提案を行っています。


