ガタガタと前突感を整え、自然な口元に仕上げた学生の症例(表側ワイヤー矯正)
症例紹介
2025.10.16
2025.11.13
今回ご紹介するのは、
「上の前歯のガタガタと口元の張り」を気にされていた10代後半の患者様を、表側ワイヤー矯正で治療した症例です。
実際の写真をもとに、どのように改善していったのかをご紹介します。
※写真は患者様の同意を得て掲載しています。
治療前の状態
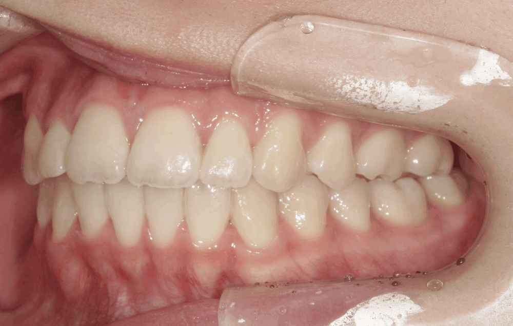
<初診時>

上の前歯の横の歯(前から2番目)が前方に飛び出しており、全体的にガタつき(叢生)が見られます。これは、歯の大きさに対してあごの幅がやや狭く、歯がきれいに並ぶスペースが足りないために起こります。
また、上下の前歯の中心(正中線)がわずかにずれており、奥歯のかみ合わせやあごの位置の影響がみられました。

上の前歯1本が前に出ており、いわゆる「出っ歯」の状態です。見た目の印象だけでなく、口を閉じにくい・前歯で噛みにくいなどの機能面への影響もありました。

横から見ると、Eライン(鼻先とあご先を結ぶ線)より内側に口元があります。しかし、口を閉じるときに力が入ることでリップラインが不自然になり、少しふくらんで見える状態でした。患者様自身もこの「口元の力み」を気にされており、原因は上顎前歯の突出(出っ歯)によるものでした。
こうしたタイプの口元は、見た目の問題だけでなく、「口が閉じにくい」「力を抜くと少し開いてしまう」といった機能面にも影響することがあります。
実は、こうしたご相談はとても多いです。
診断と治療方針
この症例の主な特徴は以下の通りです。
- 上の前歯の唇側傾斜(出っ歯)
- 奥歯のAngleⅡ級(やや上の歯列全体が前方に位置)
- 中程度の叢生(ガタガタ)
- 正中線のずれ
- 口唇閉鎖時の口輪筋の緊張(口元の力み)
上の前歯が前に傾いていることで、唇を自然に閉じるのが難しく、無意識に口元に力を入れる癖がついていました。
また、奥歯の噛み合わせがずれていたことで、全体的に歯が並ぶスペースが不足しており、叢生も生じていました。
このようなケースでは、「見た目」だけでなく「噛み合わせ」と「筋肉のバランス」を整えることが大切です。そのため、単に前歯を並べるだけでなく、奥歯の位置関係を正して全体的なバランスを整える方針としました。
実際の治療内容 ー抜歯は必要?ー
前歯の傾きを整え、出っ歯と口元の力みを改善するためには、前歯を後方へ移動させる必要があります。
スペースをつくる方法には、歯列を広げたり、奥歯を後ろに動かす方法もありますが、今回は上顎の小臼歯を2本抜歯してスペースを確保しました。

抜歯を行うことで、
- 前歯をしっかり後退できる
- 奥歯の噛み合わせ(AngleⅡ級)を改善できる
- 正中線のずれを整えられる
といった複数の効果が期待できました。
治療中は、前歯を引っ込めすぎて口元が平たくならないよう、リップライン(唇の自然なカーブ)を意識してコントロールしました。
治療装置について
今回の治療では、見た目にも配慮して白い「セラミックブラケット」とホワイトワイヤーを使用しました。透明感のあるブラケットと白いワイヤーの組み合わせは、金属の装置に比べて目立ちにくく、お仕事中や日常生活でも気になりにくいのが特徴です。

まとめ・治療後の変化
治療後の写真では、歯並びのガタつきが整い、前歯の角度も自然に改善されています。
Eラインに対してもバランスが取れ、力を入れなくても唇を閉じられる、リラックスした口元になりました。
「口元の力みがなくなって、表情が自然になった」と患者様にも喜んでいただけました。今回のような出っ歯や叢生のケースでは、“どれだけ引っ込めるか”だけではなく、“口元の自然さをどう保つか”がとても大切です。
同じ「出っ歯の改善」でも、骨格や筋肉のバランスを考慮することで仕上がりが大きく変わります。
治療前後の比較
治療前


治療後(15か月)
















治療内容のまとめ
患者様情報
| 年代 | 10代後半 |
| 性別 | 女性 |
治療情報
| 治療名称 | ワイヤー矯正、便宜抜歯あり |
| 治療費用 | 880,000円(10%税込) |
| その他費用 |
相談料:0円 検査・診断料:5,500円 管理料:3,300円/回 保定装置代:16,500円/個 経過観察料:2,200円/回 |
| 治療期間 | 1年3か月 |
| 通院頻度など | 1~2ヶ月に1回 |
| その他治療に関する情報 | なし |
治療内容
| 患者様の症状 | 叢生(そうせい)、正中線のずれ、上顎前突 |
| 治療方法 |
便宜抜歯2本行い、表側矯正を行いました。
装置はセラミックブラケットとホワイトワイヤーを使用。 |
| 治療結果 |
叢生、上顎前突を解消。正中線のずれも改善し、噛み合わせが良くなりました。 ※治療結果は患者様によって個人差があります。 |
| その他治療に関する情報 | 前から5番目の歯を左右計2本抜歯、ゴムかけを頑張って頂いたので、治療期間を短縮できた可能性があります。 |
治療を行う上での注意点
| リスク/副作用 |
月1回程度の通院が必要 調節後3日程度痛みがある 歯磨きが難しい 食べ物が挟まりやすい |
監修歯科医師
小田垣 直弥
院長
裏側矯正や口ゴボの改善を得意とする矯正歯科医として、一人ひとりの骨格や顔立ちに合わせた治療を心がけています。特に、見た目にこだわる大人の方には「見た目に矯正中だとわかりにくく、仕上がりにも妥協しない治療」を大切に、日本矯正歯科学会認定医として丁寧な診断とご提案を行っています。
裏側矯正や口ゴボの改善を得意とする矯正歯科医として、一人ひとりの骨格や顔立ちに合わせた治療を心がけています。特に、見た目にこだわる大人の方には「見た目に矯正中だとわかりにくく、仕上がりにも妥協しない治療」を大切に、日本矯正歯科学会認定医として丁寧な診断とご提案を行っています。


