前歯の突出と口ゴボを、抜歯矯正で自然な口元へ整えた症例(表側ワイヤー矯正・歯科矯正用アンカースクリュー併用)
症例紹介
2025.12.05
2026.01.28
今回ご紹介するのは、
「前歯と口元が出ていて、横顔が気になる」とご相談いただいた患者様の症例です。
表側ワイヤー矯正と歯科矯正用アンカースクリューを併用して治療しました。
実際の治療前写真をもとに、どのように改善したのかをご紹介します。
※写真は患者様の同意を得て掲載しています。
目次
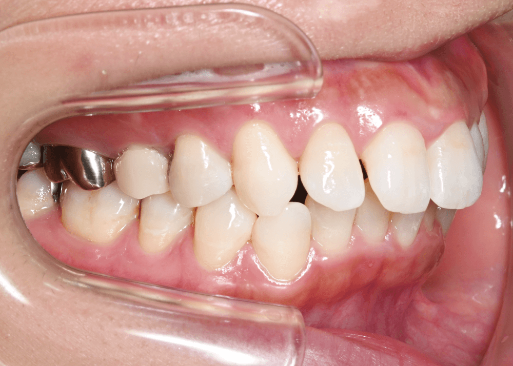
治療前の状態
<初診時>

全体の歯のガタつきは少ないものの、上の前歯が前方に突出しており、いわゆる「出っ歯」の状態です。前歯が前に出ていることで、口を閉じたときにも唇が押し出され、口元が前に突き出て見える印象になります。

下あごが小さく後方にある「下顎後退」を呈していました。相対的に上あごが前に出ることにより、前歯の突出が強調される骨格的な上顎前突の状態でした。そのため、横から見ると上下の唇がEライン(鼻先とあご先を結んだライン)より前に出て、いわゆる「口ゴボ」となっていました。
また、自然に口を閉じるのが難しく、無理に閉じるとオトガイ筋に力が入り、口の下に“梅干しジワ”ができていました。この筋肉の緊張により、下あごの自然なラインが目立ちにくく、口元が常に力んで見えていました。
-1024x572.png)
診断と治療方針:原因は「歯の傾斜+下顎後退」
上記のように、この症例には
- 下顎後退(骨格的な上顎前突)
- 上の前歯の突出(出っ歯)
- 口ゴボ(口元の突出、下あごのラインが目立ちにくい)
- 軽度の叢生(ガタガタ)
といった複合的な問題がありました。


今回の前歯の突出や口ゴボの原因は、単に歯が前に傾いているだけではありませんでした。
前歯が歯根(歯ぐきに埋まっている歯の根っこ部分)ごと前方に位置しているうえに、下顎後退という“骨格のずれ”がベースにあることで、口元全体が前に押し出されて見えていました。
このように、歯と骨格の両方に原因があるケースでは、前歯の角度を整えるだけでは理想的な口元になりにくく、前歯を“根っこごと”しっかり後方へ動かす必要があります。
そこで今回の治療では、
- 前歯を後方へ十分に下げること
- 奥歯の位置を維持してスペースを最大限活用すること
- 顎のラインと口元のバランスを整えること
の3点を重視して治療計画を立てました。
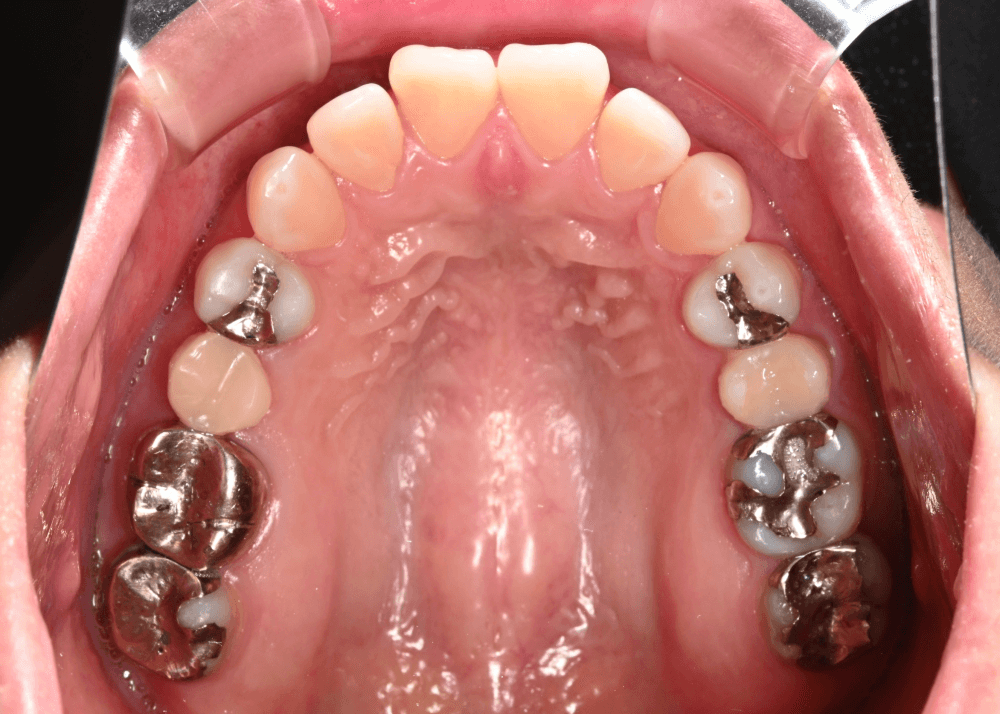
実際の治療内容①ー抜歯したスペースに前歯を移動ー
前歯を十分に後方へ移動させるため、今回は上下左右の5番目の歯(第二小臼歯)を抜歯しました。
抜歯する歯は、治療痕の大きさを参考に選ぶことがあります。
通常は4番目(第一小臼歯)を抜くことが多いのですが、今回の症例では
- 4番目:詰め物で神経が残っている
- 5番目:被せ物で神経を抜いた治療痕がある
という理由から、より治療痕が大きい5番目の抜歯を選択しました。


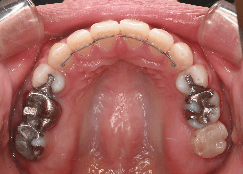
実際の治療内容②ーアンカースクリューで「動かしたい歯だけ」を確実に後退ー
こうして確保したスペースを使って前歯を後ろへ下げていきますが、ここで大事なのが「前歯と奥歯の力関係」です。
通常、前歯を引っ込める際には奥歯を固定源にして引っ張りますが、これはいわば「前歯と奥歯の綱引き」のような状態です。前歯を後ろへ動かす力をかけると、同時に奥歯も前に引っ張られてしまい、期待したほど前歯が後退しないことがあるのです。

そこで今回は、歯科矯正用アンカースクリュー(矯正用の小さなネジ)を上あごに2本使用し、強力な固定源として利用しました。
これにより、
- 奥歯を前に動かさない
- 前歯だけを確実に後ろへ下げられる
という“効率の良い歯の移動”が可能になりました。

矯正装置は、表側ワイヤー装置を選択しました。
ブラケットは歯の色に馴染みやすい白い「セラミック」製を、ワイヤーは標準的な「メタルワイヤー」を使用しました。
まとめ・治療後の変化
治療後は、気にされていた前歯の突出感や口元のボリュームが改善され、唇がEラインの内側に自然と収まるバランスの良い横顔になりました。
また、今回の症例で大きく変化したのが「顎のライン」です。
治療前は下顎がやや後ろに位置していたため、横から見ると顎がすっきり見えにくい状態でしたが、前歯をきちんと後方へ下げたことで、口元の緊張がとれ、あご先(おとがい)のラインがきれいに現れるようになりました。
無理に力を入れなくても自然に口が閉じられるようになり、口元まわりの表情にもやわらかさが出ています。
このように、前歯の位置と骨格的な下顎の位置関係が重なっていたケースでは、抜歯で確保したスペースをしっかり活かしながら、前歯そのものを根元から大きく後方へ移動させることが重要です。
今回は歯科矯正用アンカースクリューを用いることで奥歯の位置を安定させ、計画通りに前歯を後退させることができました。
治療前後の写真比較
治療前


治療後(27か月)
















治療内容のまとめ
患者様情報
| 年代 | 30代前半 |
| 性別 | 女性 |
治療情報
| 治療名称 | ワイヤー矯正、便宜抜歯あり、アンカースクリュー2本埋入 |
| 治療費用 | 814,000円(10%税込) |
| その他費用 |
相談料:0円 検査・診断料:5,500円 管理料:3,300円/回 保定装置代:16,500円/個 経過観察料:2,200円/回 アンカースクリュー 33,000円/本 |
| 治療期間 | 2年3か月 |
| 通院頻度など | 1か月に1回 |
| その他治療に関する情報 | なし |
治療内容
| 患者様の症状 | 上下顎前突(口ゴボ) |
| 治療方法 |
便宜抜歯4本行い、アンカースクリュー2本埋入、表側矯正を行いました。
装置はセラミックブラケットとメタルワイヤーを使用。 |
| 治療結果 |
上顎前突(口ゴボ)を解消。唇がEラインの内側に入り、整った口元に改善しました。 ※治療結果は患者様によって個人差があります。 |
治療を行う上での注意点
| リスク/副作用 |
月1回程度の通院が必要 調節後3日程度痛みがある 歯磨きが難しい 食べ物が挟まりやすい アンカースクリューの脱離 |
監修歯科医師
小田垣 直弥
院長
裏側矯正や口ゴボの改善を得意とする矯正歯科医として、一人ひとりの骨格や顔立ちに合わせた治療を心がけています。特に、見た目にこだわる大人の方には「見た目に矯正中だとわかりにくく、仕上がりにも妥協しない治療」を大切に、日本矯正歯科学会認定医として丁寧な診断とご提案を行っています。
裏側矯正や口ゴボの改善を得意とする矯正歯科医として、一人ひとりの骨格や顔立ちに合わせた治療を心がけています。特に、見た目にこだわる大人の方には「見た目に矯正中だとわかりにくく、仕上がりにも妥協しない治療」を大切に、日本矯正歯科学会認定医として丁寧な診断とご提案を行っています。


