歯並びは良いのに口元が出ているケース(口ゴボ)を、抜歯矯正で改善した症例(ハーフリンガル矯正)
症例紹介
2026.01.29
2026.01.30
一見、歯並びはきれいに見えても口ゴボ(口元の突出感)が気になる方は少なくありません。
今回ご紹介するのは、
「口元が出ているので引っ込めたい。」とご相談いただいた20代前半の患者様です。
抜歯矯正・ハーフリンガル矯正(上顎は裏側、下顎は表側のワイヤー矯正)で治療を行いました。
※写真は患者様の同意を得て掲載しています。
目次
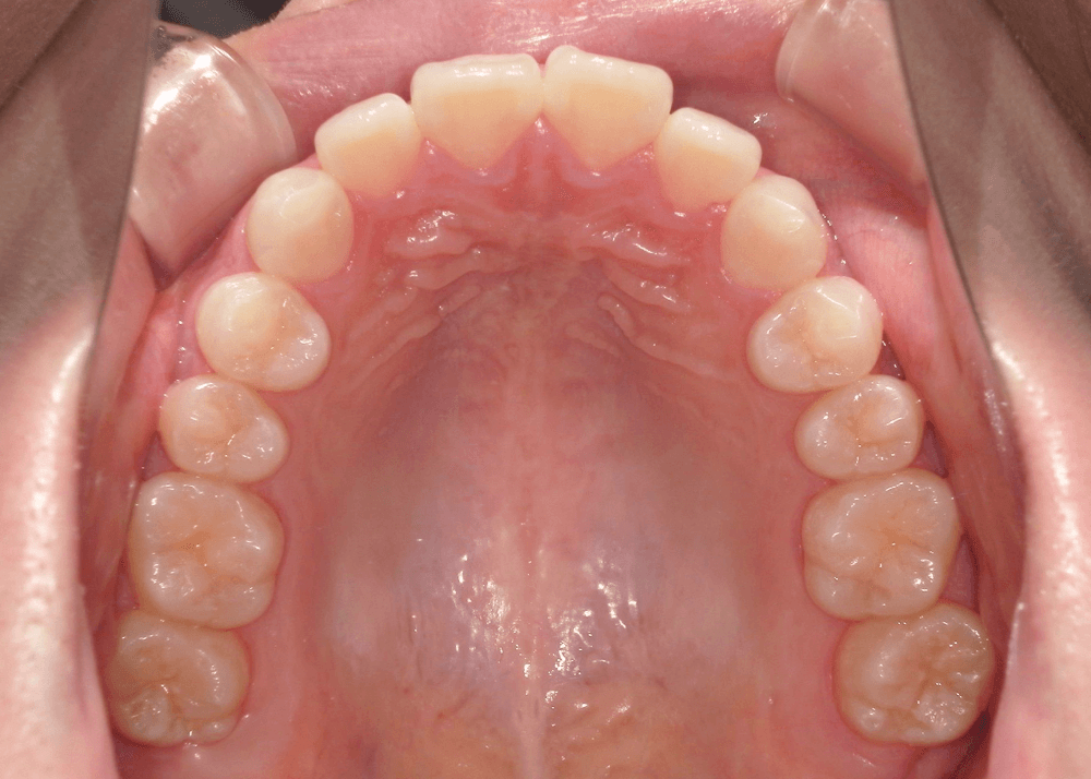
治療前の状態
<初診時>


一見すると大きなガタガタはなく、歯並び自体は比較的きれいに整っているように見えます。

角度を変えて確認すると、上の前歯が前方に突出しており、上下の前歯がしっかり噛み合っていない状態(前歯部に隙間)が認められました。

横顔を確認すると、Eラインに対して口元全体が前方に出ている印象があります。
このように、歯列の乱れは軽度である一方、前歯の前突および口元の突出感が認められました。
診断と治療方針:口ゴボの原因は「下顎が小さいこと」
口腔内・顔貌写真に加え、セファロ分析などの検査結果を踏まえて、以下の特徴が認められました。
- 下顎後退症(下顎が小さく、骨格的な上顎前突)
- ハイアングル(下あごが縦に長く、フェイスラインが出にくい骨格タイプ)
- 口ゴボ(口元の突出感)

本症例における「口ゴボ(口元の突出感)」の主な原因は、単に前歯が前方に位置していることだけではなく、下顎が小さいことによる骨格的な影響が大きいと判断しました。
横顔の美しさの指標となる「Eライン(エステティックライン)」は、鼻先とオトガイ(あごの先端)を結んだ線で評価されます。下顎が小さい場合、Eライン自体が後方に位置するため、実際以上に口元が突出して見えることがあります。

また本症例は、骨格的に下顎角が大きい「ハイアングル」タイプであり、歯を支える周囲の骨の厚みが比較的薄い傾向がみられました。
骨が薄い場合、無理な歯の移動を行うと、歯肉退縮や歯根露出などのリスクが高まるため、歯の移動量には解剖学的な制限があります。そのため本症例では、安全な範囲内で前歯を後方へ移動させ、相対的に口元のバランスを整えることを治療方針としました。
実際の治療内容①ー抜歯したスペースに前歯を移動ー
「口元をしっかり引っ込める」ためには、前歯を十分に後方へ移動させる必要があります。今回は、上下左右の第一小臼歯(4番)を抜歯しました。


この抜歯によってできたスペースを利用し、前歯を後方へ引き下げていきます。
抜歯矯正を行う場合でも、前歯をどの程度下げられるかは、歯並びや骨格によって大きく異なります。
この症例では、下あごが小さい(下顎後退症)、下あごの歯の周囲の骨が薄いという骨格的特徴があり、上あごと下あごで「歯を動かせる量」に差がありました。
下あごの許容範囲を超えて歯を後退させると、噛み合わせにズレが生じる可能性があります。そのため、上下のバランスを慎重に見極めながら、安全な範囲で最大限の後退量を計画しました。
実際の治療内容②ーIPRで歯の大きさのバランスを調整ー

IPRとは、歯と歯の間のエナメル質を0.1〜0.5mm程度、必要最小限のみ削る処置で、噛み合わせや前歯のバランスを微調整する目的で行います。
綺麗に噛み合うためには、上下の歯の大きさのバランスも重要な要素の一つです。本症例では、上の歯がやや大きく、そのまま並べると噛み合わない状態でした。
そのため、上の前歯をわずかにIPRし、下の歯の大きさに合わせる調整を行っています。IPRは、歯の健康に影響が出ないよう安全な範囲でのみ行う処置です。すべての方に行うものではなく、歯の状態を確認したうえで、必要な場合のみ実施しています。
装置についてーハーフリンガル矯正ー

装置は、上あごは裏側、下あごは表側にワイヤー装置を装着する「ハーフリンガル矯正」を選択しました。
笑った際に目立ちやすい上あごの装置を裏側にすることで、審美性に配慮しながら治療を進めています。
まとめ・治療後の変化

治療後は、気にされていた「口ゴボ(口元の突出感)」が改善され、自然でバランスの良い口元になりました。

隙間のあった前歯も、しっかり噛み合うようになっています。
一見すると歯並びがきれいに見える場合でも、前歯の位置や口元全体のバランスによって、口元の突出感が目立つことがあります。
矯正治療は、歯のガタつきを整えるだけでなく、噛み合わせや口元のバランスを整えることも目的の一つです。
「歯並びは悪くないけれど、口元が気になる」
そのようなお悩みがある場合も、矯正治療で改善できる可能性があります。
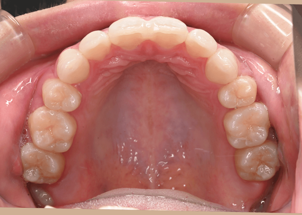
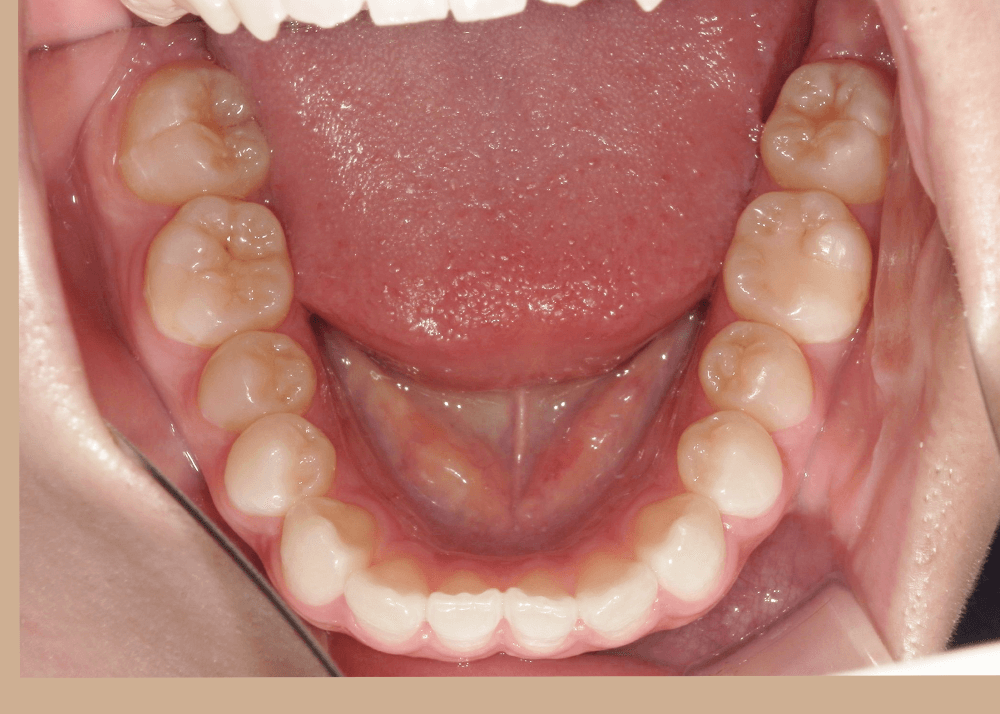
治療前後の写真比較
治療前


治療後(32か月)
















治療内容のまとめ
患者様情報
| 年代 | 20代前半 |
| 性別 | 女性 |
治療情報
| 治療名称 | ワイヤー矯正、便宜抜歯あり |
| 治療費用 | 1,100,000円(10%税込) |
| その他費用 |
相談料:0円 検査・診断料:5,500円 管理料:3,300円/回 保定装置代:16,500円/個 経過観察料:2,200円/回 |
| 治療期間 | 2年8か月 |
| 通院頻度など | 1か月に1回 |
| その他治療に関する情報 | なし |
治療内容
| 患者様の症状 | 上下顎前突(口ゴボ) |
| 治療方法 |
便宜抜歯4本行い、ハーフリンガル矯正を行いました。
その他、噛み合わせ等の微調整を行いました。 |
| 治療結果 |
上顎前突(口ゴボ)を解消。唇がEラインの内側に入り、自然な口元に改善し、噛み合わせも整いました。 ※治療結果は患者様によって個人差があります。 |
治療を行う上での注意点
| リスク/副作用 |
月1回程度の通院が必要 調節後3日程度痛みがある 歯磨きが難しい 食べ物が挟まりやすい |
監修歯科医師
小田垣 直弥
院長
裏側矯正や口ゴボの改善を得意とする矯正歯科医として、一人ひとりの骨格や顔立ちに合わせた治療を心がけています。特に、見た目にこだわる大人の方には「見た目に矯正中だとわかりにくく、仕上がりにも妥協しない治療」を大切に、日本矯正歯科学会認定医として丁寧な診断とご提案を行っています。
裏側矯正や口ゴボの改善を得意とする矯正歯科医として、一人ひとりの骨格や顔立ちに合わせた治療を心がけています。特に、見た目にこだわる大人の方には「見た目に矯正中だとわかりにくく、仕上がりにも妥協しない治療」を大切に、日本矯正歯科学会認定医として丁寧な診断とご提案を行っています。


