Blog
症例紹介
2025.12.05
2026.01.28
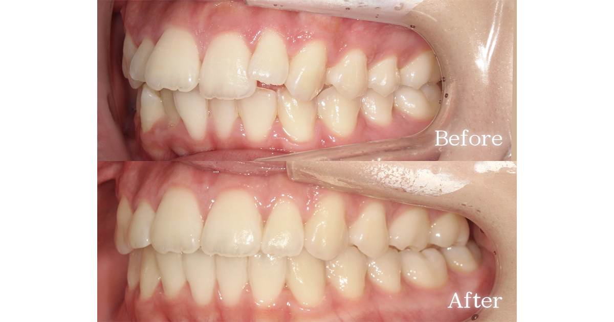
今回ご紹介するのは、「前歯と口元が出ていて、横顔が気になる」とご相談いただいた患者様の症例です。表側ワイヤー矯正と歯科矯正用アンカースクリューを併用して治療しました。 実際の治療前写真をもとに、どのように改善したのかをご […]
今回ご紹介するのは、「前歯と口元が出ていて、横顔が気になる」とご相談いただいた患者様の症例です。表側ワイヤー矯正と歯科矯正用アンカースクリューを併用して治療しました。 実際の治療前写真をもとに、どのように改善したのかをご […]
症例紹介
2025.10.16
2026.01.28
今回ご紹介するのは、「上の前歯のガタガタと口元の張り」を気にされていた10代後半の患者様を、表側ワイヤー矯正で治療した症例です。実際の写真をもとに、どのように改善していったのかをご紹介します。※写真は患者様の同意を得て掲 […]
今回ご紹介するのは、「上の前歯のガタガタと口元の張り」を気にされていた10代後半の患者様を、表側ワイヤー矯正で治療した症例です。実際の写真をもとに、どのように改善していったのかをご紹介します。※写真は患者様の同意を得て掲 […]
来院をお考えの方へ
火・水・金 12:00〜19:00
土・日 10:00〜19:00
〒538-0052
大阪市鶴見区横堤2丁目23-5
一徳ビル2F
大阪メトロ地下鉄長堀鶴見緑地線
「横堤駅」2番出口隣