口ゴボ矯正の期間はなぜ平均2〜3年?期間が決まる仕組みと実際の経過を解説
矯正コラム
2025.12.23
2026.01.19
鏡を見るたびに、横顔や口元の突出感(いわゆる口ゴボ)が気になってしまう——
そんなお悩みを抱えて来院される方は少なくありません。
インターネットで矯正期間を検索すると「平均2〜3年」という数字が多く見受けられますが、その長さに驚かれる方も多いようです。
「なぜそんなに時間がかかるのか?」 「もっと早く終わるケースはないのか?」
本記事では、日本矯正歯科学会の認定医が、口ゴボ矯正に2〜3年という期間が必要な医学的な理由と、期間を左右する具体的な要素について解説します。また、実際の治療経過として、いつ頃から見た目の変化が現れるのかを、症例モデルを用いて時系列でご紹介します。
目次
そもそも、なぜ口ゴボ矯正には「2〜3年」かかるのか
結論からお伝えすると、口元の突出感を根本的に改善するためには、「歯を動かす距離」が他の矯正治療に比べて長くなりやすいからです。
一般的な歯列矯正(ガタつきの改善など)と比べると、口ゴボ治療には時間がかかる『明確な理由』が存在します。
口ゴボを改善するには、前に出ている前歯や歯茎の骨を、物理的に奥(喉の方向)へ引っ込める必要があります。この際、歯を動かすスペースを作るために抜歯(主に小臼歯)を行うケースが多くなります。抜歯でできた約7〜8mmの隙間を埋めるように前歯を大きく移動させるには、どうしても物理的な時間が必要です。
一般的に、歯が安全に動く量は1月に約1mm前後とされています。
無理に早く動かそうとすると、歯の根が短くなったり(歯根吸収)、歯茎が下がったりするリスクがあるため、生体反応に合わせた適切なスピードで動かす必要があるのです。
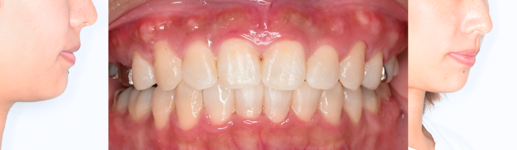
治療開始から横顔が変わるまでの3つのステップ
2〜3年という期間の中で、具体的にいつ頃から変化が現れるのでしょうか。一般的な抜歯矯正(ワイヤー矯正)のモデルケースを用いて、治療の進行に伴う見た目の変化を解説します。
<モデルケース>
- 症状:下顎後退(骨格的な上顎前突)、上の前歯の突出、口ゴボ、軽度のガタつき
- 治療方針:上下左右の小臼歯4本を抜歯し、前歯を後退
- 治療期間:約2年半
① 治療開始〜6か月:準備期間(口元の変化:小)
この時期は、歯並びのガタつきを整えたり、抜歯したスペースに向かって犬歯を移動させたりする準備段階です。
まだ前歯全体を後方へ下げる(後退させる)工程には入らないため、横顔や口元の見た目に大きな変化は出にくいのが一般的です。
「矯正を始めたのに口元が変わらない」と不安に感じる方もいますが、この期間は、後に前歯をしっかり引っ込めるためにに欠かせない大切なステップです。

② 6か月〜1年半:前歯の後退期(口元の変化:大)
準備が整うと、いよいよ前歯をまとめて後退させていく段階に入ります。この時期から、数ヶ月単位で口元の変化を実感する方が増えてきます。
前歯が後退することで、唇が閉じやすくなったり、横顔の突出感が徐々にやわらいでいくのが特徴です。


③ 1年半〜2年半:仕上げ・微調整期(口元の変化:小)
大きなスペースが閉じた後は、噛み合わせや歯の細かな位置を整える仕上げの段階に入ります。
見た目の変化は緩やかになりますが、長期的に安定した噛み合わせと、自然な口元をつくるために非常に重要な期間です。

口元の変化まとめ
治療の3つのステップに合わせて、口元が変化していく様子が確認できます。
よく「どのくらいで口元が変わるのですか?」とご質問をいただきますが、治療開始から1年前後で変化を感じ始める方が多い印象です。
※実際の変化の時期には個人差があります。

※本記事で解説したような治療の進み方について、実際の症例写真もご覧いただけます。
治療期間を決定する「3つの要素」
平均的な治療期間は2〜3年ですが、骨の硬さや歯の動きやすさなどによって個人差があり、症例によっては想定より期間がかかる場合もあります。この期間の差は、主に以下の3つの要素によって決まります。
1.症状の重さとタイプ
最も期間に影響するのは、口ゴボの原因が「歯」にあるのか、「骨格」にあるのかという点です。
- 歯槽性(歯が傾いているタイプ)
骨格に大きな問題はなく、歯の傾きを直すことで改善できる場合、比較的スムーズに進む傾向があります。例えるなら「家の土台はしっかりしているが、柱が斜め」な状態です。
- 骨格性(顎の骨が出ているタイプ)
顎の骨格自体が前に出ている場合、歯の移動距離が長くなるほか、難易度が高まり治療期間が長引く傾向にあります。「家の土台(顎骨)ごと前に出ている」と言えます。歯を大きく動かす必要があり、治療期間が長くなる傾向があります。
また、抜歯が必要かどうかも大きく関わります。抜歯をする場合は歯の移動距離が増えるため期間が長くなりますが、その分、口元の変化量は大きくなります。
2.治療装置の選択
次に、歯を動かす「装置」の選択です。選ぶ装置によっても、歯を動かす得意な動きが異なるため、期間に差が出ることがあります。

ワイヤー矯正(表側)
最も歴史が長く、多くの症例に対応可能。効率的に歯を動かせます。
- 通院頻度: 月1回
- メリット: 対応症例が幅広い、費用を抑えやすい
- デメリット: 装置が目立ちやすい

裏側矯正(舌側矯正)
装置が目立たないメリットがありますが、技術的な難易度が高く、表側矯正よりも期間がやや長くなるケースがあります。
- 通院頻度: 月1回
- メリット: 装置が目立たない
- デメリット: 費用が高め、慣れるまで滑舌に影響が出ることがある

マウスピース型矯正
透明なマウスピースを交換して歯を動かします。軽度〜中等度の症例ではワイヤーと同等の期間で進むこともありますが、口元を大きく引っ込める必要があるケースでは、適応を慎重に判断します。
- 通院頻度: 2~3か月に1回
- メリット: 目立たない、取り外し可能で衛生的
- デメリット: 対応症例に限りがある、自己管理が必須
大切なのは、「口ゴボを治すために、最も効率的な装置はどれか」という視点です。患者のライフスタイルやご希望をじっくり伺いながら、最適な治療法を一緒に見つけていきましょう。
3.個人の代謝と協力度
最後は、患者さま一人ひとりの「個人差」です。
年齢や代謝による「歯の動きやすさ」には個人差があります。
また、患者様自身の協力度も期間を左右します。特にマウスピース矯正の場合、決められた装着時間を守らないと歯が動かず、治療期間が大幅に延びる原因となります。ワイヤー矯正であっても、予約通りの通院や、ゴムかけ等の指示を守ることが最短でのゴールにつながります。
治療期間を適正化するために当院が行っていること
長期間に及ぶ矯正治療において、無駄な回り道をせず、より確実にゴールへ向かうための当院の取り組みをご紹介します。
適切な診断と治療法の選定
「早く終わりたいからマウスピースがいい」といったご希望があっても、症状に適していなければ逆に期間が延びてしまう可能性があります。
当院では、表側ワイヤー矯正、裏側ワイヤー矯正、マウスピース矯正など豊富な選択肢の中から、患者様の骨格や症状に合わせ、最も効率よく治せる方法をご提案します。
アンカースクリュー(インプラント矯正)の活用

難症例や、より大きく前歯を後退させたい場合には、「歯科矯正用アンカースクリュー(別記事で詳しく解説)」を用いることがあります。
これはチタン製の小さなネジを歯ぐきの骨に埋め込み、船の「錨(いかり)」のように絶対的な固定源として歯を動かす方法です。従来の方法では動いてほしくない奥歯が前にズレてしまうことがありましたが、アンカースクリューを用いることで「引っ込めたい前歯だけ」を効率的に動かすことが可能になり、結果として治療期間の短縮につながる場合があります。

◆アンカースクリューのメリット
- 治療期間の短縮: 力のロスがなくなり、効率的に歯を動かせるため、治療期間を短縮できる可能性があります。
- 治療の質の向上: 動かしたい歯だけを計画通りに動かし、より理想的な口元を目指せます。
麻酔下で行うごく小さな処置で、体への負担も少ないのが特徴です。この技術により、難しい症例でも、より早く確実にゴールを目指せます。
口ゴボ矯正に関するよくある質問(Q&A)
Q1. 矯正したのに口ゴボが治らないことはありますか?
A. 診断が適切でなかった場合、起こり得ます。 骨格的な問題が大きいにもかかわらず、歯の傾きだけを変える治療を行ってしまった場合など、不適切な診断が主な原因です。失敗を防ぐためには、治療開始前に「セファロ(頭部X線規格写真)」などの精密検査を行い、歯だけでなく骨格の状態を正確に把握することが不可欠です。
Q2. 治療期間が延びることはありますか?
A. 歯の動きには個人差があるため、計画より前後することがあります。 また、通院間隔が空いてしまったり、装置の破損が頻発したりすると、治療期間が延びる原因となります。定期的な通院と適切な管理が重要です。
Q3. 治療が終わった後の「保定期間」とは何ですか?
A. 動かした歯をその場に固定させるための期間です。 装置が外れた直後の歯は、元の位置に戻ろうとする「後戻り」のリスクが高い状態です。これを防ぐために、リテーナー(保定装置)を装着する期間が必要です。一般的に、歯を動かした期間と同じくらいの期間が必要と言われています。
まずはご自身の「最短ルート」を知ることから

口ゴボ矯正の期間が平均2〜3年かかるのは、見た目を大きく変えるために相応の歯の移動が必要だからです。 しかし、その期間は一律ではなく、症状のタイプや選ぶ治療法によって大きく変動します。
大切なのは、インターネット上の平均値にとらわれるのではなく、ご自身の歯並びや骨格の状態を専門家に診断してもらい、「自分の場合はどれくらいの期間で、どのように変化していくのか」という具体的な見通しを知ることです。
鶴見ニコ矯正歯科では、日本矯正歯科学会認定医である院長が、骨格・噛み合わせ・見た目のバランスを多角的に診断いたします。 当院が大切にしているのは、治療を急がせることなく、患者様が納得して一歩を踏み出せる環境づくりです。まずは気になる点を整理し、ご自身のペースでご相談いただければと思います。納得できる治療選択に向けて、丁寧にサポートいたします。
実際の症例で、口ゴボの原因と治療結果を確認したい方へ
口ゴボ矯正では、歯並びや骨格の状態によって、口元が出て見える原因や適した治療方法が異なります。当院では、抜歯矯正やアンカースクリューを用いた治療を含め、「なぜ口ゴボに見えるのか」「どのような方針で治療したのか」を症例ごとに解説しています。

監修歯科医師
小田垣 直弥
院長
裏側矯正や口ゴボの改善を得意とする矯正歯科医として、一人ひとりの骨格や顔立ちに合わせた治療を心がけています。特に、見た目にこだわる大人の方には「見た目に矯正中だとわかりにくく、仕上がりにも妥協しない治療」を大切に、日本矯正歯科学会認定医として丁寧な診断とご提案を行っています。
裏側矯正や口ゴボの改善を得意とする矯正歯科医として、一人ひとりの骨格や顔立ちに合わせた治療を心がけています。特に、見た目にこだわる大人の方には「見た目に矯正中だとわかりにくく、仕上がりにも妥協しない治療」を大切に、日本矯正歯科学会認定医として丁寧な診断とご提案を行っています。


