他院で抜歯矯正後に「前歯の引っ込みすぎ」が気になり再治療した症例
症例紹介
2026.04.23
2026.04.23
今回ご紹介するのは、他院で矯正治療を終えた後に
「口元が引っ込みすぎてしまった」
という違和感を感じ、再治療を希望された20代後半の患者様の症例です。
初診時、歯並び自体は整っており、上下の歯の噛み合わせも安定していました。しかし横顔や笑顔の印象を詳しく確認すると、前歯の位置と傾斜が顔貌のバランスに対して後方に位置している状態が認められました。
矯正治療では「歯を並べること」だけでなく、顔貌との調和を考えた歯のポジションが重要になります。
本症例では、セファロ分析(側貌レントゲン分析)を用いて客観的に現状を評価し、噛み合わせを維持したまま歯列を前方へ移動させる再治療を行いました。
※写真は患者様の同意を得て掲載しています。
目次
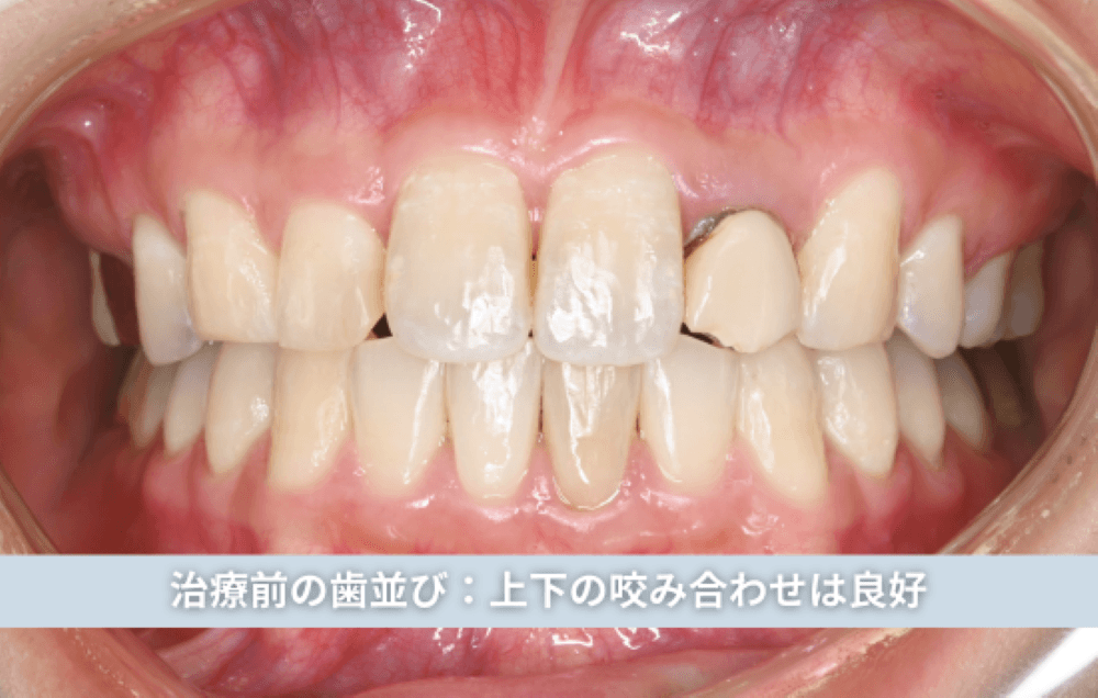
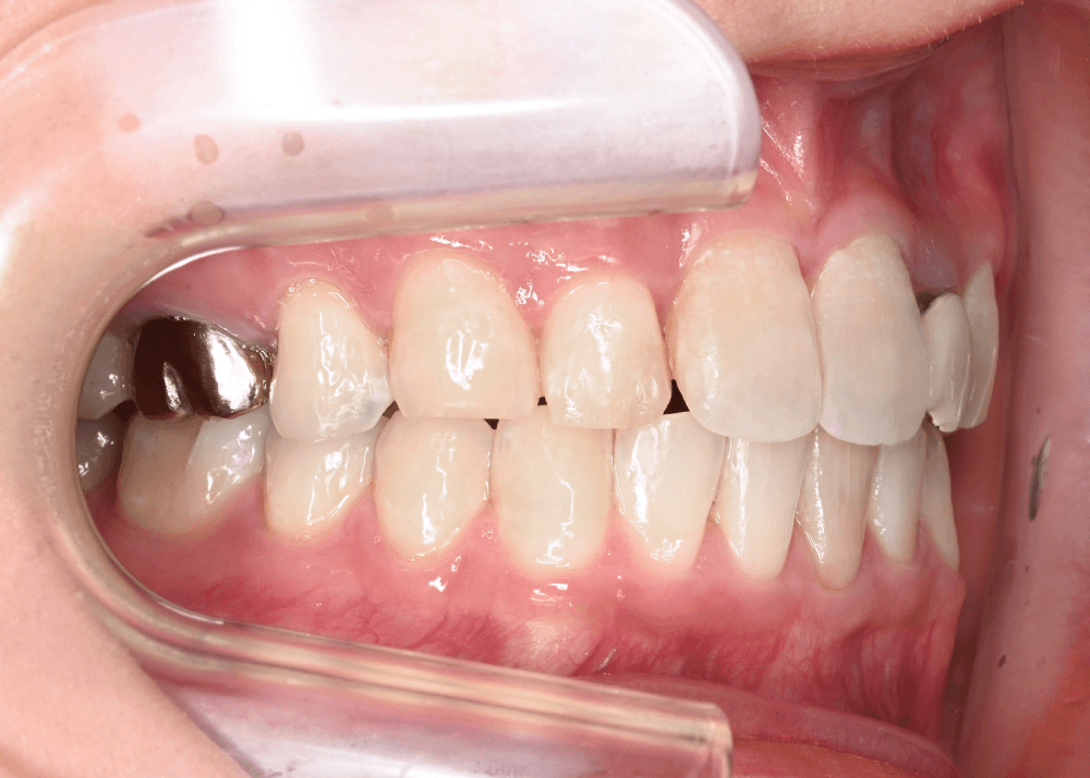
治療前の状態

すでに矯正治療を終えられていたため、歯列に大きなガタつきはなく、上下の歯の咬み合わせも良好でした。
しかし顔貌の観察では以下の特徴が見られました。

側貌(横顔)
上顎前歯が舌側に強く傾斜しており、口唇のサポートが不足していました。
その結果、口元のボリュームが少なく、横顔がやや平坦な印象となっていました。
スマイル時の印象
患者様ご本人も
「笑ったときに歯が奥まって見える」
という違和感を強く感じておられました。
歯並び自体は整っていても、前歯の位置や傾斜によって口元の印象は大きく変化します。
診断:数値が示した「前歯の後方傾斜」
患者様の違和感の原因を客観的に評価するため、セファロ分析を行いました。

前歯の傾斜(Interincisal angle)

レントゲンの計測値で、上下前歯のなす角度は 138° でした。
一般的な平均値(約128°)と比較すると角度が大きく、上下の前歯が内側へ倒れ込んだ状態であることが分かります。この状態では前歯が奥へ引き込まれて見えやすく、口唇の支持が弱くなることがあります。
軟組織の位置(Upper lip to E-line)
上唇は Eラインより 2mm 後方に位置していました。
これは一般的な基準の範囲内ではありますが、やや後方寄りの位置であり、前歯の後方傾斜と組み合わさることで口元のボリュームがやや少ない印象でした。
上顎前歯の露出量(Upper incisal display)
安静時の上顎前歯の露出は 0.8mm とやや少なく、口元の立体感が不足している状態でした。
治療方針
本症例では、単に歯を並べ直すのではなく
「歯列を適切な位置へ戻す」
ことを治療目標としました。
具体的には
- 内側に傾斜している前歯の角度を適正化
- 上下歯列を前方へ移動(プロトラクション)
- 噛み合わせは維持
という方針です。
これにより、歯列と口唇のバランスを回復させ、自然な口元の立体感を再構築することを目指しました。
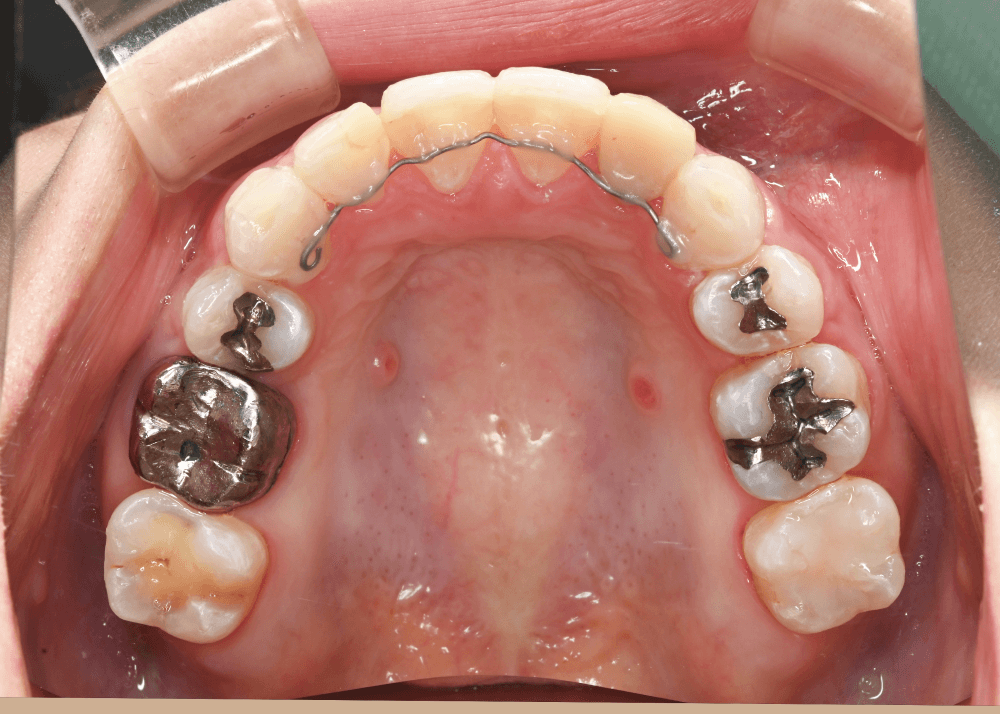
治療のメカニクス
前歯を前方に移動させる場合、単に歯を外側へ傾けてしまうと、いわゆる「出っ歯」のような不自然な状態になる可能性があります。そのため本症例では、歯根の位置をコントロールしながら歯列全体を移動させるメカニクスを採用しました。
アンカースクリューの使用


複数のアンカースクリューを固定源として使用し、歯列全体を前方へ移動させました。アンカースクリューは骨に固定される小さなネジ型の装置で、他の歯に不要な力をかけることなく、精密な歯の移動を可能にする固定源として機能します。
リンガルアーチの併用

歯列全体を前方へ移動させる際には、
アーチ形態を維持するための補助装置としてリンガルアーチを併用しました。
これにより歯列の形を安定させながら、
上下の噛み合わせを維持したまま歯列を前方へ移動させることが可能になります。
治療に伴うリスク
歯列を前方へ移動させる治療には、いくつか注意すべき点があります。
歯肉退縮
歯を骨の外側方向へ動かす場合、歯肉が薄い部位では歯肉退縮が起こる可能性があります。
歯根吸収
矯正治療全般に言えることですが、歯の移動に伴って歯根の長さがわずかに短くなる(歯根吸収)可能性があります。
骨の支持範囲
歯列を過度に前方へ移動させると、歯槽骨の支持範囲を超えてしまう可能性があるため、骨格とのバランスを慎重に評価する必要があります。
本症例ではこれらのリスクを考慮しながら、安全な範囲内で歯列移動量を設定しました。
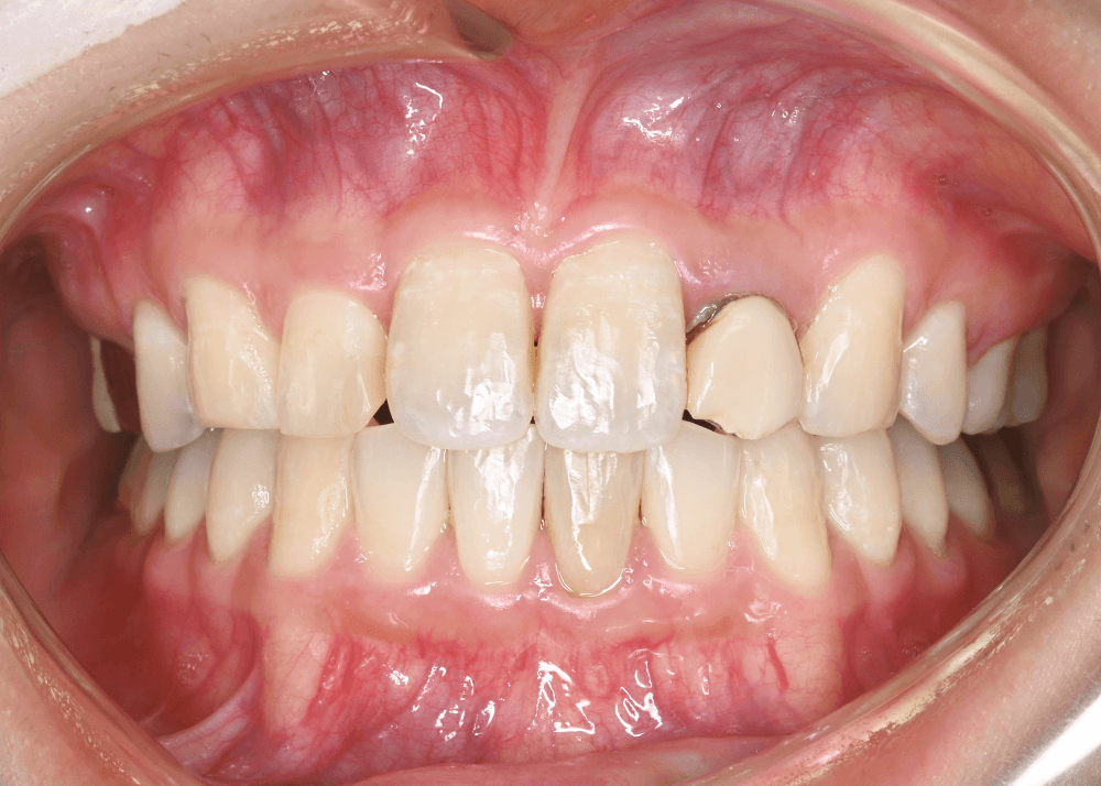
治療後の変化

治療後は、舌側に倒れていた前歯の傾きが改善しています。
・上下前歯のなす角(Interincisal angle)
138° → 125°
前歯のポジションが適正化されたことで、スマイル時に奥まって見えていた歯の見え方が改善し、より自然な印象になっています。
また、唇を内側から支える「口唇サポート」が回復し、横顔の印象にも変化がみられました。
まとめ
矯正治療では、歯並びが整っていても、前歯の位置や傾斜によって口元の印象が大きく変わることがあります。
本症例では、噛み合わせを維持しながら上下歯列を前方へ移動させ、前歯の傾斜を整えることで、スマイル時の歯の見え方や立体感の改善を図りました。
一方で、口元の変化は歯の移動だけで決まるものではなく、骨格や軟組織、歯槽骨の支持範囲など、複数の要因が関係します。特に、前歯の前方(唇側)への移動は、後方(舌側)への移動と比べて、歯肉退縮などのリスクの観点から制限が大きくなります。本症例でも、歯槽骨の支持範囲を考慮しながら、安全な範囲で歯列移動を行いました。「歯並びは整っているのに、口元に違和感がある」
そのような場合でも、前歯のポジションを見直すことで改善できる可能性があります。
治療前後の写真比較
治療前


治療後(32か月)














治療内容のまとめ
患者様情報
| 年代 | 20代後半 |
| 性別 | 女性 |
治療情報
| 治療名称 | ワイヤー矯正、リンガルアーチ、アンカースクリュー6本埋入 |
| 治療費用 | 814,000円(10%税込) |
| その他費用 |
相談料:0円 検査・診断料:5,500円 管理料:3,300円/回 保定装置代:16,500円/個 経過観察料:2,200円/回 アンカースクリュー:33,000円/部位 |
| 治療期間 | 1年11か月 |
| 通院頻度など | 1か月に1回 |
| その他治療に関する情報 | なし |
治療内容
| 患者様の症状 | 口ゴボ、口元が引込みすぎ |
| 治療方法 | ワイヤー矯正、リンガルアーチ、アンカースクリューを使用し、慎重に調整を行いました。上前歯と下前歯を調整し、スペースを作り、アンカースクリューで臼歯を近心へ移動しました。 |
| 治療結果 |
上前歯の傾斜が整い、笑ったときに見えなかった歯が見えるようにスマイルラインが整いました。 ※治療結果は患者様によって個人差があります。 |
治療を行う上での注意点
| リスク/副作用 |
月1回程度の通院が必要 調節後3日程度痛みがある 歯磨きが難しい 食べ物が挟まりやすい |
監修歯科医師
小田垣 直弥
院長
裏側矯正や口ゴボの改善を得意とする矯正歯科医として、一人ひとりの骨格や顔立ちに合わせた治療を心がけています。特に、見た目にこだわる大人の方には「見た目に矯正中だとわかりにくく、仕上がりにも妥協しない治療」を大切に、日本矯正歯科学会認定医として丁寧な診断とご提案を行っています。
裏側矯正や口ゴボの改善を得意とする矯正歯科医として、一人ひとりの骨格や顔立ちに合わせた治療を心がけています。特に、見た目にこだわる大人の方には「見た目に矯正中だとわかりにくく、仕上がりにも妥協しない治療」を大切に、日本矯正歯科学会認定医として丁寧な診断とご提案を行っています。


